
Связаться с нами
Позвоните или напишите нам:
Стоматологическая клиника доктора Чалого
Мы находимся по адресу: г. Москва, ул. Макаренко, д. 1/19 метро "Чистые пруды" Телефон: +7 495 111 01 19 E-mail: i@clch.ru
- Рядом с театром "Современник"
Вход во двор со стороны Чистопородного бульвара или со стороны тетра "Современник"
Реквизиты и нормативные документы клиники:
ООО «Стоматологическая клиника доктора Чалого» Юр.адрес: 105062, г Москва, ул Макаренко, 1/19, помещение III, Эт. 1 ИНН 9701098618 КПП 770101001 ОГРН 1187746062932 ОКПО 24271376 р/сч 40702 810 538 000 195 251 в БАНК СБЕРБАНК (ПАО) Г.МОСКВА (ИНН 7707083893, КПП 773601001) Кор/сч 30101 810 400 000 000 225 БИК 044 525 225 Генеральный директор: Чалый Вячеслав Анатольевич, действует на основании Устава. Система налогообложения: УСН "Доходы минус расходы" Лицензия: ЛО-77-01-018225 от 18.06.2019г, выдана Департаментом здравоохранения города Москвы (г. Москва, площадь Журавлева, д. 12, тел.: +7 (495) 963-46-85) сроком действия «бессрочно» на осуществление медицинской деятельности при оказании первичной, в том числе доврачебной, врачебной и специализированной, медико-санитарной помощи организуются и выполняются следующие работы (услуги): при оказании первичной доврачебной медико-санитарной помощи в амбулаторных условиях по: сестринскому делу; при оказании первичной специализированной медико-санитарной помощи в амбулаторных условиях по: рентгенологии, стоматологии ортопедической, стоматологии терапевтической, стоматологии хирургической.
Прайс лист
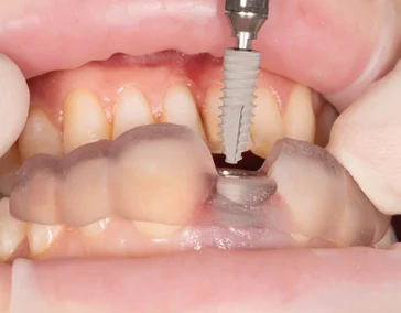
ДИАГНОСТИКА Компьютерная томография двух челюстей 6 000,00 руб. ТЕРАПЕВТИЧЕСКИЕ УСЛУГИ Профессиональная гигиена полости рта 12 000,00 руб. Профессиональное отбеливание Zoom 4 45 000,00 руб. Лечение кариеса простое 15 000,00 руб. Лечение глубокого кариеса сложное 20 000,00 руб. Первичное лечение каналов однокорневого зуба 30 000,00 руб. Первичное лечение каналов двухкорневого зуба 40 000,00 руб. Первичное лечение каналов трехкорневого зуба 60 000,00 руб. Перелечивание каналов однокорневого зуба 35 000,00 руб. Перелечивание каналов двухкорневого зуба 45 000,00 руб. Перелечивание каналов трехкорневого зуба 65 000,00 руб. ОРТОПЕДИЧЕСКИЕ УСЛУГИ Реставрация зуба керамической накладкой 55 000,00 руб. Безметалловая реставрация боковой участок 2 категории 55 000,00 руб. Безметалловая реставрация боковой участок 1 категории 75 000,00 руб. Безметалловая реставрация (винир, коронка) передний участок 1 категории 75 000,00 руб. Безметалловая реставрация (винир, коронка) передний участок 1 категории 95 000,00 руб. Полный съемный протез 120 000,00 руб. Восстановение зубного ряда мостовидным акриловым протезом на титановой балке с опорой на имплантаты 350 000,00 руб. Восстановение зубного ряда мостовидным протезом из оксида циркония с опорой на имплантаты (шесть абатментов и четырнадцать циркониевых коронок) 908 000,00 руб. ХИРУРГИЧЕСКИЕ УСЛУГИ Удаление зуба 8 500,00 руб. Удаление зуба сложное 20 000,00 руб. Операция синус лифтинг (без учета костнопластического материала) 35 000,00 руб. Установка имплантата “Medentica”, Германия (включая изготовление хирургического шаблона) 54 000,00 руб. Установка имплантата “Straumann”, Швейцария (включая изготовление хирургического шаблона) 95 000,00 руб.
Информация для размещения на сайте медицинской организации в соответствии с приказом Министерства здравоохранения Российской Федерации (Минздрав России) от 30 декабря 2014 г. N 956н.
У медицинских услуг имеются противопоказания. Проконсультируйтесь со специалистом.


















































